KAGAIロゴ

KAGAI DENTAL OFFICE

  • トップTOP
  • 受診をお考えの方YOUR_VISIT
  • 診療案内SERVICE
    • 一般歯科
    • 小児歯科
    • 審美歯科
    • インプラント治療
    • 保険外の補綴治療
    • マタニティ歯科
  • 医院案内OFFICE
  • 診療時間OPEN

    診療時間

    当医院は予約制ですが、急患の方などは随時受付けをしていますのでご相談ください。

    時間 月 火 水 木 金 土 日
    9:00 〜 12:00 ○ ○ ○ ー ○ ○ ー
    14:00 〜 18:30 ○ ○ ○ ー ○ ○ ー

    木・日・祝日は休診です。
    ※祝日のある週は、木曜診療いたします。

  • アクセスACCESS
  • 0749-68-0767PHONE
  • トップ
  • 受診をお考えの方
  • 診療案内
    • 一般歯科
    • 小児歯科
    • 審美歯科
    • インプラント治療
    • 保険外の補綴治療
    • マタニティ歯科
  • 医院案内

診察メニュー

予防・クリーニング

むし歯治療

歯の根の治療

歯周病治療

補綴(ブリッジ・入れ歯)

親知らず

小児歯科

医療ホワイトニング治療

セラミック治療

インプラント治療

自費の入れ歯

マタニティ歯科

予防・クリーニング

  • みがき残しがあるか気になる
  • 歯みがきのコツを知りたい
  • ブラッシングが維持されているか気になる

虫歯や歯周病は、病気になってから治療するのではなく、病気になる前に予防することが重要です。毎日丁寧なブラッシング(歯磨き)、定期検診やクリーニングなどで、歯の健康を保ちましょう。定期検診では、歯科医師や衛生士がTBI(Tooth Brushing Instruction)やPMTC(Professional Mechanical Tooth Cleaninng)などを行っています。むし歯や歯周病の初期症状を見逃さないように、お口の中をすみずみまでチェックします。

TBI

ブラッシング(歯みがき)指導のことを指しています。磨き残しになりやすい場所は一人一人違いがあり、歯並びや使用する歯ブラシの違い、利き手などによっても違います。患者様のお口の特徴を交えて、ブラッシング指導だけでなく、ご自身のうまく磨けていない場所を把握して頂くことも行います。

TBI

PMTC

歯科医師や衛生士が歯の表面を器具によって磨き上げる処置を指します。歯の表面に付着した着色汚れやバイオフィルム(細菌の層である透明な膜)を除去し、汚れがつきにくい状態に仕上げます。それにより、虫歯予防に効果が見込まれます。

むし歯治療

  • 歯が痛い歯が痛い
  • 冷たいものや甘いものなどしみる
  • 詰め物が取れた

むし歯は、細菌がエナメル質に付着し歯を溶かし穴をあけてしまう病気です。例えば歯が痛い、黒くなっている、食べ物がつまるなどの症状があるときは、 むし歯治療の必要なサインと考えられます。むし歯の進行程度により樹脂(プラスチック)の、詰め物(インレー)、被せ物(クラウン)などで治療を行います。

歯の根の治療

  • 歯がズキズキと痛む
  • むし歯に接する振動が痛くその歯茎が腫れている
  • できるだけ歯を残したい

むし歯が進行すると、歯の中にある神経へと感染が広がり炎症を起こし強い痛みがでます。ここまで進行したむし歯は、歯の中にある感染した神経を取り除き消毒を行い薬剤を詰め密閉します。なるべく無菌状態に近づけ、神経にかわる物(お薬)を詰める処置を行います。また複雑な解剖学的根管形態の場合、根管形態の確認のためCT(3次元エックス線断層写真)を撮影することがあり、その結果を用い能動型機器を併用することもあります。

歯周病治療

  • 歯ぐきが腫れている
  • 歯がグラグラしている
  • 口臭がきになってきた

歯周病は、歯や歯ぐきそして歯を支える骨などの歯周組織が、細菌により徐々に炎症を起こす病気です。進行すると歯を支えている顎の骨が溶けて歯が抜け落ちてしまう事もあります。 クリーニングや歯石除去により歯周病の原因となる歯垢(プラーク)取り除き、炎症を抑えることで、歯の寿命を延ばす事や症状の改善をめざします。

補綴(ブリッジ・入れ歯)

  • 入れ歯が合わない
  • 入れ歯を作りたい
  • 入れ歯を調整してほしい

歯を失ったままにしていたり、合わない入れ歯をそのまま使っていたりすると、かみ合わせのバランスが悪くなり、健康な歯にも影響が出る恐れがあります。部分的に歯を失った場合、残っている歯を支台歯(バネのかかる歯)にする部分入れ歯、全ての歯を失った場合にする総入れ歯、どちらも患者様のご要望をしっかりおうかがいし、お口に合う入れ歯をデザインご提案します。また、製作後の調整も細やかに対応しておりますので、お気軽にご相談ください。他院で製作した入れ歯に関するご相談も承ります。

親知らず

親知らずをお持ちの方は、10代後半から30歳くらいまでに症状が現れることが多く個人差があります。顎(あご)の骨の中に完全に埋まっていたり、半分埋まっていたり、斜めに生えていたりと色々です。症状としては、顎が痛くなったり歯茎が腫れたり、食べ物がつまったりします。腫れや痛みを繰り返すものは、周囲に炎症が広がっている可能性が考えられ、ばい菌の侵入や虫歯が進行している可能性があり、それらを含めお困りの際は、速やかに当医院に相談して頂ければと思います。また当医院では、親知らずの抜歯を行うにあたり、歯の形や顎の中の神経などの位置関係を知るために2次元的なレントゲン写真だけでは難しい場合、CT撮影行い3次元的な画像にて安全評価を行いリスクの低減・回避を行う事があります。ただし状態によっては、大きな病院を紹介させて頂き、そちらで抜歯をして頂く場合もあります。
(※ 親知らずがほかの歯と同じ様に生え症状がない方、他の部位に移植・再植予定のある方などは、抜歯を行わないこともあります。)

小児歯科

  • 子どもの歯がむし歯かな
  • 子どもの歯のむし歯予防をしたい
  • 学校からお口の中のことを指摘された

子どもの歯は大人の歯より弱く虫歯の進行も早いことが特徴です。乳歯の虫歯を放っておくと永久歯が虫歯になったり正常な位置に生えてこないなど、将来的に悪影響を及ぼすことがあります。まずは練習から始めるなど、お子様一人一人にあったペースにあわせて治療を進めていきます。

医療ホワイトニング治療

  • 歯の黄ばみや着色が気になり自然な白さに整えたい
  • 自宅でゆっくりと歯を白くしたい
  • 歯を歯科医院と自宅で速く白くしたい

ホームホワイトニング

ご自宅で行っていただくホワイトニング。歯科医院でマウストレー(マウスピース)を作製し、専用の薬剤を入れて歯に装着します。テレビを見ながらや勉強しながら、家事をしながらなどお好きなタイミングで行っていただけます。 歯科医院で行うオフィスホワイトニングに比べ即効性はありませんが、通院の必要がありません。効果には個人差はあります。

ホームホワイトニング

オフィスホワイトニング

歯科医院で行うホワイトニング。ホワイトニングの薬剤を歯に塗布し、専用の光を照射することで歯を白くする効果が期待できます。個人差はありますがホワイトニングの効果を早く実感したい方にお薦めです。

デュアルホワイトニング

オフィスホワイトニングとホームホワイトニングの両方を組み合わせたものです。オフィスで短期間で白くし、ホームによって効果を持続させます。

セラミック治療

  • セラミックの歯を入れたい
  • 銀歯を白色の歯にしたい
  • 金属アレルギーで金属以外の治療を考えている

オールセラミック

白い陶製の材料、セラミックだけで作った被せ物です。

ジルコニア

セラミックの数倍以上の強度を持つと言われ、奥歯のように大きな力がかかる歯や歯ぎしりが強い患者様におすすめです。透明度は、オールセラミックと比べると劣りますが綺麗です。

e.max

e.maxの成分は、セラミックの一種のニケイ酸リチウム(ガラスセラミック)、天然歯のような自然な仕上がりでほぼ同じ硬さで詰め物や被せ物が作れ綺麗です。

e.max

ハイブリッドセラミック

セラミックという名前がついているので、白くてツルツルとした陶器のような素材を想像されるかと思いますが、実際はセラミックよりもプラスチック(レジン)に近い素材です。一般的な保険診療で使用される歯科用のプラスチック素材にセラミックを混ぜ込んだものを、ハイブリッドセラミックと呼んでいます。
ハイブリッドセラミックによる保険診療はCAD/CAM冠もしくはCAD/CAMインレーという名前で、一定の条件のもとで被せ物・詰め物として使用されていますが、歯科技工士が手作業で制作するのものは、ハイブリッドセラミックでも自費診療となります。

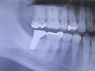
インプラント治療

  • インプラント治療をしたい
  • 入れ歯が嫌だ
  • ブリッジが嫌だ

むし歯や歯周病などの病気や、事故で歯を失った患者様、先天的に歯が足りない方へお勧めしたいのが、インプラント(デンタルインプラント)治療。 インプラントとは、体内に埋め込む医療機器などの人工物や技術。例えば歯を1本失ってしまった場合、欠損部の両側の歯を削り、それを支えにして人工歯を被せる「ブリッジ」という治療が一般的です。ブリッジは支えとなる両側の健康な歯を傷つけてしまいます。そこで歯科治療の選択肢の一つとして、周囲の歯に影響の少ないインプラント治療をおすすめする場合があります。インプラントは、チタン製の人工歯根(フィクスチャー)を顎の骨に埋め込み、その上に土台(アバットメント)と人工の歯(上部構造)を合わせたものです。

自費の入れ歯

  • バネ(はりがね)がない入れ歯がつくりたい
  • 弾力のある入れ歯がほしい
  • 薄い入れ歯がほしい

ノンクラスプデンチャー

部分入れ歯はバネ(金属製の金具)を残存歯(残っている歯)に引っ掛ける構造なので、場所によってはこの金具がどうしても目立ってしまいます。ノンクラスプデンチャーは、バネに変わる加工をおこない入れ歯を目立たなくしたものです。興味のある方は相談ください。

ノンクラスプデンチャー
ノンクラスプデンチャー

金属床

金属床

金属で作ると頑丈なため、プラスチックに比べ厚さを薄くすることができます。厚さが薄くなると舌で触った時に口の中を広く感じますし、話したり食べたりする時の違和感も少なくなります。ノンクラスプデンチャー、金属床どちらも患者様のご要望をしっかり伺い、お口に合う入れ歯をご提案致します。お気軽にご相談ください。

マタニティ歯科

  • 妊娠中もお口のケアをしたい
  • 妊娠中からお口のケアを始めたい
  • 妊娠中もお口の中が気になる

妊娠中の歯科診療

妊娠中の歯科診療は基本的に口腔内のケア(お掃除やブラッシング等の指導)になります。 また、かが井歯科では、育休・産休経験や出産・子育て経験あるベテランスタッフが常駐し、妊婦さんにやさしいチルド(治療中の体勢に無理のない)機能の付いた診療台にて、楽な体勢で治療を受けて頂けます。お口の中で気になることがある場合、我慢したまま放置せず早めに受診して頂けたらと思います。ご不明な点やご質問がある方は、お気軽にお問い合わせください。

妊娠中の歯科診療

診療時間

当医院は予約制ですが、急患の方などは随時受付けをしていますのでご相談ください。

時間 月 火 水 木 金 土 日
9:00 〜 12:00 ○ ○ ○ ー ○ ○ ー
14:00 〜 18:30 ○ ○ ○ ー ○ ○ ー

木・日・祝日は休診です。
※祝日のある週は、木曜診療いたします。

アクセス お電話
© kagai dental office